案例丨9岁男孩不慎摔断前牙 市口腔医院专家妙手粘接断齿
“医生,我儿子牙齿断了,您快看看吧” ,一位女子领着一个男童焦急地走进长春市口腔医院儿童口腔科诊室,主治医师姬莉接待了母子二人。姬莉通过询问了解到,男童名叫乐乐(化名),今年9岁。昨天不慎从自行车上摔下来,折断了一颗牙。
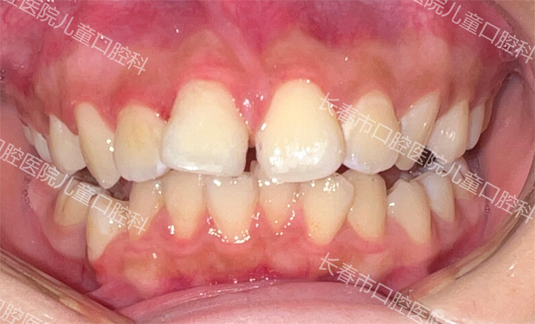
随后,她为乐乐进行了详细检查,通过检查发现乐乐除了前牙折断,还伴有冷热敏感,否认自发痛、牙齿移位。右上恒中切牙冠折,牙髓暴露,露髓孔直径3mm,I 度松动。
根尖片显示,乐乐的牙冠折断,但根尖未发育完全,牙周膜清晰连续。根据病情,姬莉诊断为复杂冠折,并决定立刻进行治疗。
专家妙手令断冠重新粘接
姬莉考虑到乐乐露髓孔较大且暴露时间较长,根尖又未发育完全,且伴有移位性损伤,决定为他进行了部分牙髓切断术+断冠粘接术。
在对炎症牙髓组织进行局麻后,用生理盐水对断冠位置进行冲洗,止血。然后放置生物材料进行盖髓,完成断冠粘接。
治疗完成后,姬莉对乐乐妈妈交待了一些护理事项,并叮嘱她注意带乐乐定期复查。母子二人对姬莉表示感谢,便离开了医院。
恒牙外伤会对儿童口腔造成哪些伤害?
姬莉介绍,首先,牙齿受到外伤后,会导致牙髓的坏死。外露的牙髓一旦受到细菌侵袭,细菌可通过牙根、根尖孔到达牙根外边,导致根尖周炎发生;
其次,牙齿吃饭、咬东西时会感到疼,不敢咀嚼。严重的牙龈肿胀会导致牙根发炎;
最后,牙齿外伤还会影响美观、影响发音包括咬合关系。尤其是对处于替牙期的儿童,不及时修复牙齿外伤,会对邻牙及颌牙造成部分缺失的间隙,导致咬合关系改变。
口腔舒适化让儿童治牙不再害怕
姬莉表示,年轻恒牙外伤需要根据情况制定治疗方案,复杂冠折及冠根折治疗方法的选择主要取决于牙齿折裂的深度、剩余牙根的长度及牙根发育阶段等。牙髓治疗主要包括直接盖髓术、牙髓切断术、根尖诱导成形术、血运重建术及根管治疗。
姬莉提示广大家长,现今,儿童口腔科推出口腔舒适化治疗技术,采用无痛微创治疗结合橡皮障技术,配合无痛局部麻醉仪,让孩子全程进行无痛治疗。
牙齿的健康不仅关系到口腔健康,还会影响孩子的颜值。长春市口腔医院儿童口腔科全体医护人员,愿以满腔的热忱、精湛的医术、贴心的服务为春城儿童口腔健康保驾护航,使他们笑口常开。